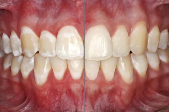
White spot treatment - Dentist Halyna Unihovska-Renner Munich
The caries infiltrant "Icon vestibular" is used to aesthetically mask cariogenic white spots in one treatment session.
Advantages of treatment with the caries infiltrant "Icon vestibular":
- healthy tooth substance is preserved
- increased life expectancy of the tooth
- painless method
- without anaesthesia
- without drilling
- only one session
Talk to us, we will be happy to advise you!
